一节一环,
三体二囊;
八池九面;
三室四窦。
具体解释:
一节:基底节
一环:脑底动脉环
三体:垂体、松果体、胼胝体
二囊:内囊、外囊
八池:二桥环枕四裂脚大
九面:听眦蝶鞍三下上体顶卵园灰质象1.听眦线层面(00mm)2.蝶鞍层面(+10mm)3.鞍上池层面(+20mm)4.三脑室下部层面(+30mm)5.三脑室上部层面(+40mm)6.侧脑室体部层面(+50mm)7.侧脑室顶部层面(+60mm)8.半卵圆中心层面(+70mm)9.灰质层面(+80mm)
三室:三、四、侧脑室
四窦:额、筛、蝶窦乳突、上颌窦
说说颅脑CT那三个窗
人体各组织结构不同,对X线衰减各异,形成不同的CT值,因此可以利用不同CT值来鉴别组织的性质。
空气对X线的吸收为0,故空气的CT值为-1000;骨组织的X线衰减是水的2-4倍,CT值为+1000;水的CT值为0。

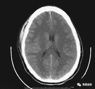
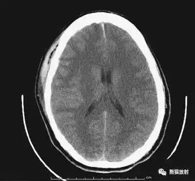
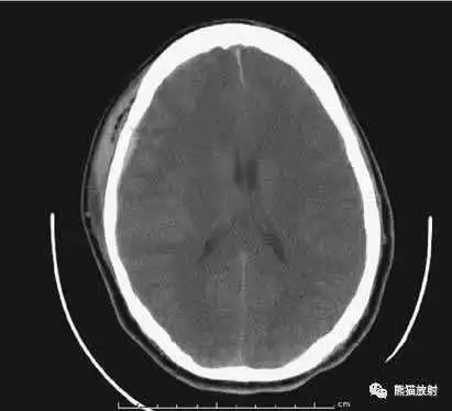
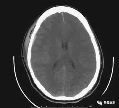
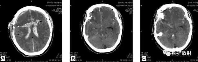
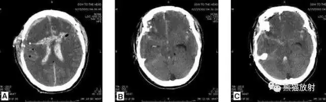
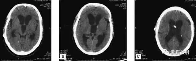
颅脑CT常用的三个窗(图A-C):
- 图A:骨窗(the bone window)
- 图B:脑窗(the brain window)
- 图C:血窗(the blood window)

图A:骨窗;主要用于明确骨折、窦腔病变、颅内积气。

图B:脑窗;可清晰显示灰白质,可发现中风的早期征象或其他导致脑水肿等表现的病变。

图C:血窗;更利于显示硬膜下或颅内出血。
本例表现:骨窗示:右顶骨骨折;三个窗均示:软组织水肿并皮下积气;血窗:少量硬膜下血肿。
应注意的常见伪影

常见于颅脑基底部及后颅窝



层厚较大时,可导致血液密度表现,在脑基底部较典型,易发生在眼眶上方额叶。
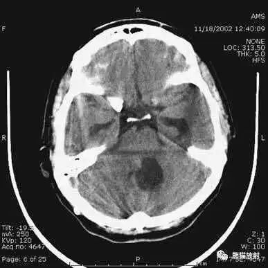
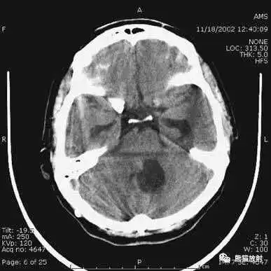
本例表现:四脑室囊性病变导致梗阻性脑积水。
颅脑断层常用基线
Reid基线(REL):
- 为外耳道中点至眶下缘的连线。头部横断层标本的制作多以此线为准,冠状断层标本的制作基线与此线垂直。
眶耳线(OML)或眦耳线(CML):
- 为外耳道中点与外眦的连线。颅脑轴位扫描(横断层扫描)多以此线为基线。
上眶耳线(SML):
- 为外耳道中点与眶上缘中点的连线,经该线的平面约与颅底平面一致,有利于显示颅后窝结构及减少颅骨伪影。

正常解剖
- 颅前窝底部:眼眶,眼球,筛窦,蝶窦,前床突等。
- 颅中窝:前界---蝶骨;后界---颞骨岩部(岩骨);内缘---海绵窦及垂体窝;外缘---颞骨,窝内为颞叶,其内侧为海马回。
- 颅后窝:前缘---岩骨;后缘---枕骨;鞍背后方---脑桥前池,向两侧延伸为脑桥小脑角池。
- 第四脑室:位于颅后窝中线上,后面紧邻小脑蚓部,其两侧为小脑扁桃体。
- 延髓、脑桥:位于第四脑室前。

- 颅前窝:颞叶。
- 鞍上池:在垂体窝上方,位于两侧颅中窝之间,前界为颞叶直回,侧方位颞叶海马,呈五角星形或六角星形。其前角连于纵裂池,两外侧角连于外侧裂池,两后外侧角延续于环池,第六个角位于后缘中间,是角间池。鞍上池边缘为大脑动脉环,池内前部常可见“v”字型视交叉。
- 颅后窝:四脑室或四叠体池。

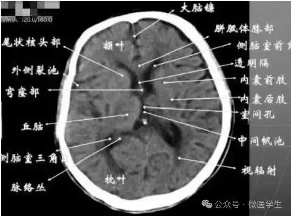
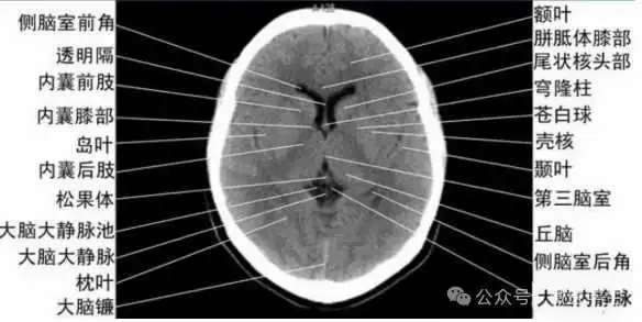
显示侧脑室前角的下部:
- 前方---额叶;外侧---尾状核头部;后方中线处---第三脑室,其两侧连接丘脑。
颅后窝:
- “Y”字形或“V”字形的小脑幕,幕下结构在内侧(小脑上蚓部),幕上结构在外侧(枕叶)。
四叠体池:
- 位于小脑蚓部前方。


- 基底核、丘脑。
- 内囊前脚(前肢);尾状核和豆状核之间。
- 内囊膝部和后脚(后肢):位于豆状核(由外侧的壳核和内侧的苍白球组成)及丘脑之间。
- 壳核的外侧:外囊、屏状核、最外囊、岛叶(脑岛)。
- 四叠体池:两侧枕叶之间,池内有松果体,向前与第三脑室连接。


基底节(基底核):
- 埋藏在两侧大脑半球深部的灰质核团,是组成锥体外系的主要结构。

基底节区:概念不清。
可能包括:基底节、黑质、红核、及其周围白质区域。
- 内囊:位于丘脑、尾状核、豆状核之间的白质区,是由上、下行的传导束密集而成。分为三部分:前肢、膝部、后肢。膝部由皮质脑干束;后肢有皮质脊髓束、丘脑皮质束、听辐射和视辐射。
- 外囊:是位于屏状核和豆状核之间的白质带,主要由岛叶发出的皮质被盖纤维组成。
由额、颞、枕叶构成,两侧侧脑室体部之间为透明隔,外侧为尾状核和体部。侧脑室后角(枕角)可不对称,室内可见脉络丛钙化。中线处可见大脑纵裂池和大脑镰。

内侧壁侧脑室体部被胼胝体分开,侧脑室体部的外方为顶叶,顶枕沟及中央沟将大脑为为额、顶、枕叶。

在胼胝体和侧脑室上方,大脑镰自前向后贯穿中线。白质部分为半卵圆中心,额叶范围缩小,顶叶所占比例扩大,枕叶基本消失。
- 半卵圆中心:位于胼胝体上方,由左右大脑半球髓质形成的有髓纤维,对称位于大脑镰两侧区域。

已近颅顶,大脑镰清晰可见,其旁的脑灰质和脑沟十分清楚。顶叶较小,额叶较小。
- 放射冠:是内囊到大脑皮质间的放射状纤维白质。
急诊影像示例

▲
额骨骨折:左侧额窦内外侧壁骨折

▲
左侧颞骨骨折

▲
硬膜外血肿、颅内积气(提示骨折)

▲
硬膜外血肿(凸透镜样;可有或无颅骨骨折)。

▲
右侧硬膜下血肿(急性-高密度,慢性-低密度);右侧大脑水肿,中线结构移位

▲
(小脑幕下)硬膜下血肿

▲
(大脑镰左侧)硬膜下血肿:
可见轻度占位效应

▲
左侧硬膜下血肿:
呈等密度,有占位效应,中线结构移位。

▲
双侧亚急性硬膜下血肿:
左侧可见急性出血,双侧占位效应平衡,
中线结构无移位

▲
双侧等密度硬膜下血肿

▲
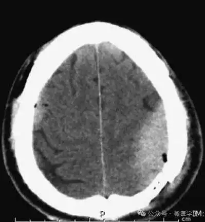
外伤性蛛网膜下腔出血:
脑沟、脑池内可见高密度影

▲
额叶及颞叶脑挫伤:
脑出血并周围水肿,可随时间扩大,
导致占位效应及脑疝。
由于受周围骨质影响,脑基底部挫伤容易遗漏。

▲
头部枪伤:
可见子弹轨迹,穿越大脑中线,
其毁灭性后果导致:
侧脑室积血,蛛网膜下腔出血,
脑积水(侧脑室颞角扩大),
小脑幕疝(脑干周围基底池消失或不对称)。

▲
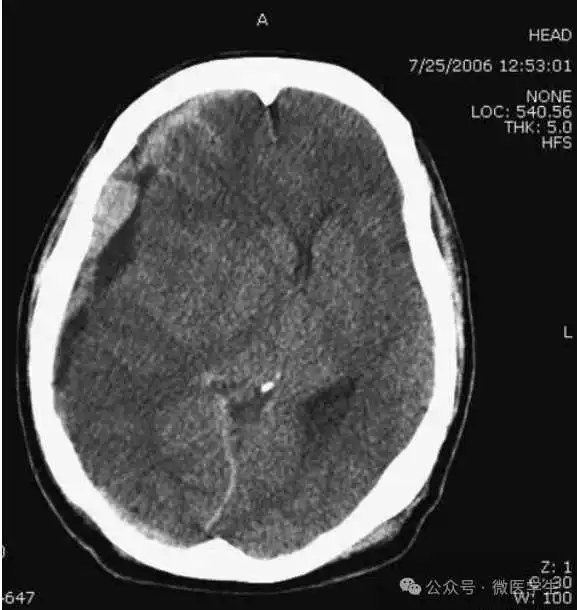
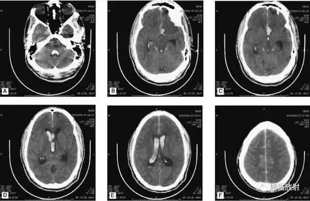
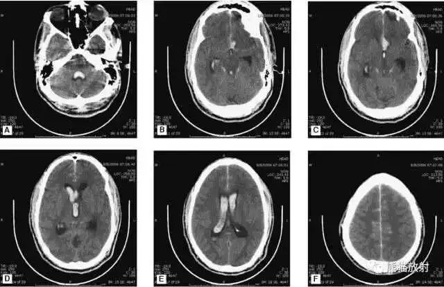
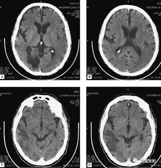
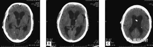
动脉瘤破裂导致蛛网膜下腔出血、
脑室积血、非交通性脑积水。
与外伤性蛛网膜下腔出血不同,动脉瘤破裂导致的SAH常不累及大脑凸面,而位于基底池附近。脑动脉瘤常位于鞍上池的Willis环血管。
A:四脑室积血;
B:中脑导水管、环池、右侧侧脑室颞角积血,前交通动脉处(动脉瘤好发位置)出血密度较高;
C:三脑室积血;
D-F:侧脑室积血,蛛网膜下腔出血(血液代替了脑脊液)。

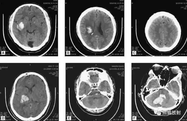
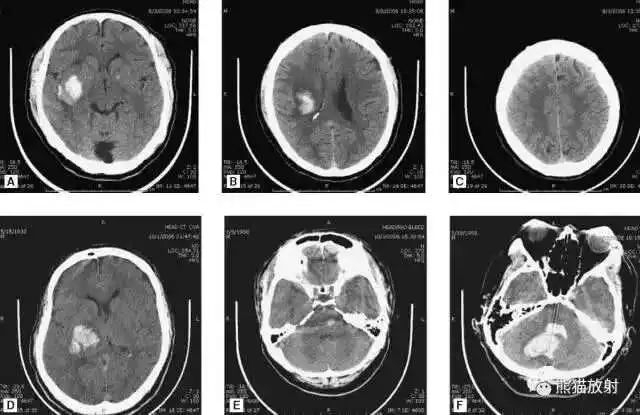
高血压性脑出血:
- 自发性出血;
- 继发于长期高血压及慢性血管病;
- 常见于基底节区、丘脑、脑桥、小脑。
A:占位效应,相邻脑沟、脑池消失;
F:脑出血破入四脑室。

▲
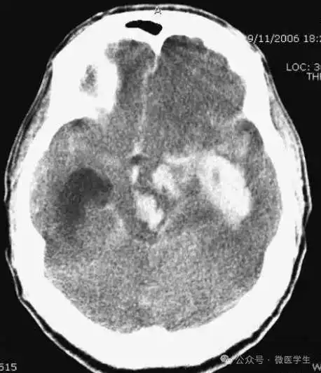
钩回疝:
是当代偿机制不能适应占位性病变时的结果。
基底节区大量高血压性脑出血,破入脑室及蛛网膜下腔,周围水肿,脑干周围空间消失;脑干出血、脑积水。

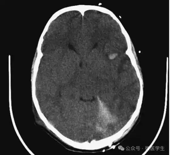
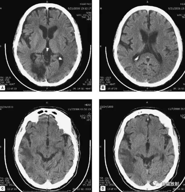
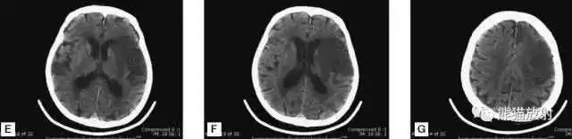
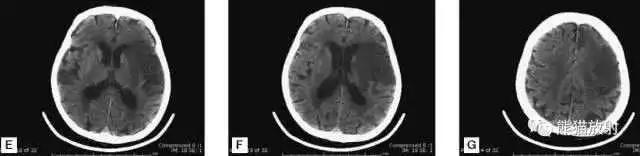
缺血性脑卒中
- 早期:脑水肿,灰白质分界模糊,脑沟消失;
- 中期:病变区域密度减低;
- 晚期:脑实质体积缩小。
A:陈旧性脑梗死,右枕叶体积缩小;
B:左枕叶急性脑梗死,灰白质分界模糊,脑沟消失;
另一患者:
C、D:亚急性期脑梗死,低密度,无明显占位效应。

▲
左侧大脑中动脉供血区脑梗死(亚急性期):
低密度,轻度水肿
缺血性脑卒中发作2-4天时,占位效应最明显。

▲
脑积水,并脑室分流

▲
急诊患者的症状大多由于病变的占位效应所引起。能引起脑水肿及占位效应的病变有:原发肿瘤或转移瘤,血管畸形,炎性病变(弓形虫、脑脓肿)。
本例:肿瘤密度较高,邻近大脑镰,周围可见大片低密度水肿区。
大家都在看


版权声明:
本文来自互联网用户投稿,该文观点仅代表作者本人,不代表本站立场。本站仅提供信息存储空间服务,不拥有所有权,不承担相关法律责任。
如若内容造成侵权、违法违规、事实不符,请将相关资料发送至xkadmin@xkablog.com进行投诉反馈,一经查实,立即处理!
转载请注明出处,原文链接:https://www.xkablog.com/bcyy/48273.html