点击蓝字关注我们

最近接诊了一些牙周炎的病人,颇有些感慨。牙周炎在中国的老百姓当中是比较普遍的。以往人们对于牙周的重视程度不够,结果导致后期牙根暴露、牙齿松动,甚至最后不得不拔掉松动的牙齿。
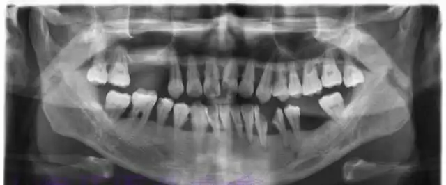
下面这张X光片是比较典型的牙周炎的X光片,该患者全口所有的牙齿都呈现出2~3度的松动。患者现在感觉无法用牙齿咀嚼。坦白地讲,牙周炎发展到这种程度,很多时候医生也束手无策了。为了保留更多的牙槽骨,医生会不得不拔掉那些严重松动的牙齿。

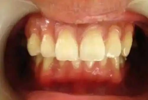
定期洗牙是目前最有效的治疗牙周疾病的方式。下面是洗牙前后的对比图:





洁牙喷砂枪,轻松把牙齿表面的色素、茶质等去除

男性成年人喜欢喝茶、抽烟,造成牙齿表面色素沉着,很不美观

洗牙(洁治)后,洁白如一
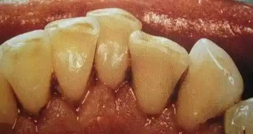
一个高职学校的学生,口腔内严重的牙结石,可能小时候没有刷过牙
洗牙(洁治)后效果很明显
本文来源于网络;版权归原作者所有,如有违规、侵权请联系我们,本平台会及时做出处理。


版权声明:
本文来自互联网用户投稿,该文观点仅代表作者本人,不代表本站立场。本站仅提供信息存储空间服务,不拥有所有权,不承担相关法律责任。
如若内容造成侵权、违法违规、事实不符,请将相关资料发送至xkadmin@xkablog.com进行投诉反馈,一经查实,立即处理!
转载请注明出处,原文链接:https://www.xkablog.com/bcyy/23602.html